الطب الباطني
يضم قسم “الطب الباطني” أحدث الاكتشافات الطبية في مجال الأمراض الباطنة ومسبباتها وكيفية التعامل معها والوقاية منها.
ويحوي القسم العديد من الدراسات والأبحاث العلمية لأحدث ما توصل إليه الباحثون في مجال علاج أمراض الباطنة، وبخاصة مرض السكري ومضاعفاته، ومرض ارتفاع ضغط الدم، وكذك أمراض الكبد.
وسواء أكان الاكتشاف عبارة عن دواء جديد، أو تقنية مبتكرة، أو علاقة جديدة بين الأمراض الباطنة والعوامل المختلفة، ستجده هنا.
وقد استخدمنا في عرضنا للموضوعات العلمية أسلوب سلس، بعيدًا عن المصطلحات المعقدة، كما راعينا إضافة المصادر العلمية الموثوقة للمزيد من الاطلاع.
و لسهولة البحث، فقد قسمنا “الطب الباطني” لعدة أقسام فرعية:
وتشمل هذه الأقسام: قسم القلب والأوعية الدموية، وقسم الغدد الصماء والسكري، وقسم خاص للجهاز الهضمي والكبد، وقسم آخر للجهاز التنفسي.
كما يشمل أيضًا أحدث ما توصل إليه البحث العلمي في مجال علاج الأورام وأمراض الدم، والأمراض المتوطنة، وأمراض الكلى.
بالإضافة إلى قسم خاص بأمراض الأطفال، وآخر للأمراض النفسية والعصبية، وغيرها من الأقسام.
لا تفوتك هذه الموضوعات الرائعة!
-
الغذاء والدواء توافق على عقار إستوريزا لعلاج البالغين المُصابين بمتلازمة كوشينج
وافقت إدارة الغذاء والدواء الأمريكية (FDA) على عقار إستوريزا (Isturisa) لعلاج البالغين المُصابين بمتلازمة كوشينج (مجموعة الأعراض الناتجة عن ارتفاع…
أكمل القراءة » -
دراسة حديثة: تناول بيضة واحدة يوميًا لا يرفع مستويات الكوليسترول بالدم
أشارت دراسة حديثة إلى أن تناول بيضة واحدة يوميًا لا يؤدي إلى رفع مستويات الكوليسترول في الدم، ولا يزيد من…
أكمل القراءة » -
دراسة: تنظيف الأسنان بالفرشاة 3 مرات يوميًا يحميك من الإصابة بداء السكري بنسبة تتخطى 14%
أشارت دراسة حديثة إلى أن تنظيف الأسنان بالفرشاة 3 مرات يوميًا يُساهم في الحماية من الإصابة بداء السكري بنسبة تفوق…
أكمل القراءة » -
منظمة الصحة العالمية تُصرح: ارتفاع معدل الوفيات الناتجة عن فيروس كورونا المُستجد إلى 3.4%
أعلنت منظمة الصحة العالمية (WHO) أن معدل الوفيات الناتجة عن الإصابة بفيروس كورونا المُستجد (COVID-19) قد ارتفع مؤخرًا من 2%…
أكمل القراءة » -
دراسة: منتجات الألبان كاملة الدسم لا تُصيب الأطفال بالسمنة
كشفت دراسة حديثة أن الأطفال الذين يتناولون الألبان كاملة الدسم أو منتجاتها لا يرتفع لديهم خطر الإصابة بالسمنة أو أمراض…
أكمل القراءة » -
دراسة: أحد العقاقير المضادة للملاريا ربما يكون فعالًا في مواجهة فيروس كورونا المُستجد
أكد فريق من الخبراء الصينيين أن مادة فوسفات الكلوروكين (Chloroquine Phosphate) المُستخدمة في علاج الملاريا ربما تكون فعالة في مواجهة…
أكمل القراءة » -
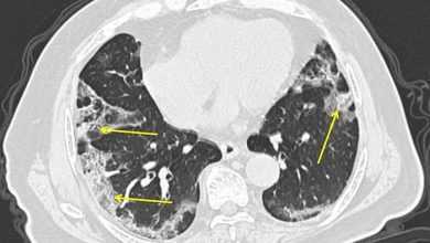
دراسة جديدة: الآشعة المقطعية قد تُساعد الأطباء في تشخيص الإصابة بفيروس كورونا في وقت مبكر
أشارت دراسة حديثة إلى أن الآشعة المقطعية (CT scan) قد تُساعد الأطباء في تشخيص المرضى المُصابين بفيروس كورونا المُستجد بشكل…
أكمل القراءة » -
للمرة الأولى منذ ظهوره: فيروس كورونا المُستجد ينتشر بشكل متسارع خارج حدود الصين
أفادت التقارير العالمية من مختلف الدول أن معدلات انتشار فيروس كورونا المُستجد (COVID-19) تتزايد بشكل متسارع للغاية خارج حدود الدولة…
أكمل القراءة » -
دراسة: استخدام مستحضرات الوقاية من الشمس ربما يرتبط بزيادة فرص الإصابة بأمراض الكبد أو الكلى
كشفت دراسة حديثة أن استخدام مستحضرات الوقاية من الشمس ربما يرتبط بزيادة فرص الإصابة بأمراض الكبد أو الكلى. وأوضحت الدراسة…
أكمل القراءة » -
علماء يكتشفون فئة جديدة من المضادات الحيوية التي تُهاجم البكتيريا بطريقة غير مسبوقة
توصل فريق من الباحثين إلى اكتشاف فئة جديدة من المضادات الحيوية التي تُهاجم البكتيريا بطريقة غير مسبوقة؛ والتي من المُتوقع…
أكمل القراءة »









